Whiplash: What is it?

Motor vehicle accidents can result in a number of very diverse and complex injuries and symptoms. This is due to the diversity of factors involved with the each MVA - i.e. vectors (angles, speed) of the collision, size of the vehicles involved in collision, pre-existing health conditions of victims, age of victims, size and strength of victims, etc.

The following list comprises the most commonly sustained injuries and symptoms following MVA's:

  • Whiplash
  • Headaches
  • Back Pain
  • Head Injuries (Concussion) and Associated Symptoms
  • Extremity Pain, Numbness, Tingling
  • Factors Influencing Injury Tolerance

"Whiplash" is the most common injury sequelae following motor vehicle accidents. Speeds of as little as 5 mph have been documented to result in whiplash injuries. And although whiplash is prevalent in today's society with hundreds of studies on the topic, it is not yet fully understood.

1. What is whiplash?

The term "whiplash" was coined by Dr. Harold Crowe back in 1928. It is used to refer to:

        1. the hyperextension (backward)/hyperflexion (forward) injury of the neck, and
        2. the resulting bodily symptoms of this injury - sustained from a motor vehicle accident.

This forwards-flexion and/or backwards-extension of the neck essentially results in a soft tissue sprain/strain injury to the structures within the cervical and upper thoracic spinal regions. When the initial impact occurs and the head is forced in either excessive flexion or excessive extension, protective reflexes cause the muscles of the neck to forcefully contract which "whips" the head back in the opposite direction. The resulting injury often leads to numerous symptoms, many of which are confusing and poorly understood.      

Click here for "Whiplash" video.                                                        

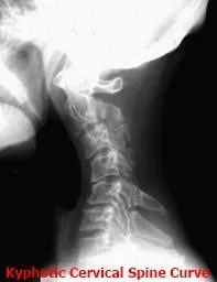
C_spine___normal.jpg This loss of normal (C-shaped forward) C_spine___kyphotic.jpg cervical curvature  is the result of the cervical acceleration/deceleration syndrome, and can be responsible for many positive orthopedic and neurological examination findings contributing to the patient’s symptomatology. X-rays cannot demonstrate microscopic tears nor show inflammation in the soft tissue (ligaments, tendons, muscle, cartilage, etc) which is one of the leading causes of the pain and soreness that one experiences following motor vehicular accident trauma. X-rays are the most cost effective study to rule out ligament insufficiency, bone pathology and vertebral misalignment leading to abnormal musculoskeletal mechanics.

2. The specific mechanics of a whiplash injury:

Whiplash is most commonly received from being struck from behind (hyperextension/hyperflexion mechanism), whether from something as light as a fender bender or from something as powerful as a football tackle. When the head is suddenly jerked back and forth beyond its normal limits, the muscles and ligaments supporting the spine can be over-stretched or torn. However, one can be struck from the from (hyperflexion/hyperextention mechanism) or from the side (T-bone mechanism). These mechanisms can also be complicated such as by the position of one's neck during the impact and/or if one was aware of the impending impact (refer to 'Risk Factors' below).

In a rear end collision for example, whiplash can be divided into four basic phases:

  • Phase 1 - During Phase 1 the car is first pushed or accelerated forward within milliseconds. Your car is essentially pushed out from under you and your back loads the seat. High shearing forces develop within the neck and your spinal curves straighten and compress. High pressures develop within the brain and shearing forces on the brain stem.
  • Phase 2 - Upward rise of your neck as your head snaps into full extension (moving backwards) over the headrest and collapses it. This acts as a fulcrum and TMJ (temperomandibular joint, jaw) injury is possible with high compression within the joint and some of the muscles and ligaments are stretched or torn in the neck.
  • Phase 3 - The head begins it's forward motion as the torso descends into the seat. Seat back bounce increases your velocity 30-70% greater than that of your car. Slack in the seat-belt shoulder harness begins to tighten. Your neck muscles, in a reflex action, contract to bring the head forward as they are thought to be in extension (phase 2), in an attempt to prevent excessive injury. But, because the head is already traveling in a forward direction as the car decelerates, there is overcompensation.
  • Phase 4 - This violently rocks the head forward, overstretching more muscles and ligaments in the back of the neck. Full deceleration of the head, neck and torso is aggravated by the shoulder harness. High tension and shear forces in the spine can cause the soft 'pulpy' discs between the vertebrae to bulge, tear, or rupture. Vertebrae can be forced out of their normal position, reducing range of motion (Vertebral Subluxation). The brain stem, spinal cord and nerve roots get stretched, irritated, and choked. If the victim is not properly restrained, the occupant's head may strike the steering wheel or windshield, causing a concussion.

3. What symptoms are associated with whiplash?

  • neck pain, tenderness, achyness and stiffness
  • cervical muscle spasms
  • tenderness and nodules in superficial cervical musculature
  • cervical reduced range of motion
  • post-traumatic headaches (including migraine and muscle-tension headaches)
  • shoulder and interscapular pain
  • hand and finger pain, numbness and tingling
  • blurred vision
  • difficulty swallowing/feeling of lump in throat
  • dizziness and balance problems
  • light headedness
  • post-traumatic depression and cognitive problems

The following lists the % rate of symptom occurrence. If you experience any of these symptoms, play it safe and get a chiropractic check up:

  •   92% - Neck pain and/or stiffness
  •   57% - Headache                                        
  •   56% - Fatigue                                              
  •   49% - Shoulder pain                                 
  •   44% - Anxiety                                         
  •   42% - Pain between the shoulder blades     
  •   39% - Low back pain                                
  •   39% - Sleep disturbance                             
  •   30% - Upper limb paraesthesia                   
  •   29% - Sensitivity to noise                         
  •   26% - Difficulty concentrating                   
  •   21% - Blurred vision                                
  •   21% - Irritability                                       
  •   16% - Difficulty swallowing                        
  •   15% - Dizziness                                          
  •   15% - Forgetfulness                                  
  •   12% - Upper limb pain                                
  •     6% - Upper limb weakness                        
  •     4% - Ringing in the ears                             
  •   +4% - Pain in the jaw or face                 

4. What structures are damaged in whiplash injuries?

Whiplash injuries can damage just a few structures or many, depending on the severity of the accident and direction of the injurious forces, to name a few. Some of the more common pain-sensitive structures that are damaged include: 

  • outer layers of the intervertebral discs
  • intervertebral ligaments
  • capsule of the facet joints
  • anterior longitudinal ligament (runs down the front of the vertebral bodies-prevents excessive extension)
  • posterior longitudinal ligament (runs down the back of the vertebral bodies-prevents excessive flexion)
  • nerve root dura
  • extensor spinal musculature
  • flexor spinal musculature: the colli and scalene muscles

Damage to any of these structures results in tissue inflammation, tissue edema, microscopic hemorrhage, and the release of noxious chemicals such as histamine, prostaglandins, substance P, and kinins which further hypersensitize already painful and injured tissues.

5. Risk Factors:

The resulting instability of the spine and soft tissues are noteworthy and depend on several important factors:

  • Rear direction impact.
  • Limited range of motion; neurological symptoms after the crash.
  • Ligamentous instability after the accident.
  • Degenerative disease, headaches or neck injury or pain prior to the crash.
  • Vehicle size. When both are equal, even an 8 mph collision produces two times the force of gravity or a 2-G acceleration of the car, and a 5-G acceleration of the head. This magnification of the force gives rise to the name, Whiplash.
  • Headrest position. This can make an injury much worse if too low, and even at the right height, it must be close enough to catch the head in time (about 2 inches). A seat that is reclined too far will increase this distance, as will poor posture and driving habits if leaning forward. Some older vehicles (trucks, vans) do not have head restraints, adding insult to injury.
  • The position of the head at impact. When turned to the side, for instance, it can only move about half as far as a straightforward position. Hence, all the G forces are localized to one side of the spine, substantially increasing the severity of injuries.
  • Age plays an important role because as the body becomes older, ligaments become less pliable, muscles weaker and less flexible, and decreases in range of motion.
  • Women and children seem to be injured more seriously than men. This is most notable due to the fact that they tend to have smaller necks. They may also be too close to the steering wheel, airbag and/or have improper fitting shoulder harnesses.
  • Pre-existing health problems such as arthritis, lend to the severity of the injuries.
  • The use of the seat-belt and shoulder harness.
  • Non-awareness of the impact.
  • Non-failure of the seat-back.

6. How is whiplash treated?

The most important aspect of a successful treatment program involves active patient participation and patient compliance to the agreed upon program. When treatments focus solely on pain-relief and not tissue rehabilitation or when patients fail to comply with the prescribed treatment plan, the chronicity of problems becomes highly likely.

Early intervention with chiropractic treatment is one of the only proven effective forms of care in the treatment of acute and chronic whiplash related injuries. Through the use of carefully controlled pressures directed at specific spinal segments and various physical therapy modalities, combined with that of exercise and nutrition, whiplash sufferers have a better outcome. This is also known as 'chiropractic rehabilitation', and, is the unique domain of the chiropractic physician.

Studies have demonstrated that without early intervention of promoting proper movement within the fixated spinal joints, osteoarthritis of the spine and nerve root complications may be accelerated.

Whiplash associated disorders do not exclude children. In fact, children involved in automobile accidents are often neglected in these types of injuries when in actuality, they suffer from the same symptoms as adults and are at a greater risk for damages due to their underdeveloped musculo-skeletal structures. Adding fuel to the fire, a number of insurance companies object to paying for the care of children when the literature shows that they are at two-thirds the risk of adults.  

The chiropractic approach to treating whiplash injuries is highly successful compared with other health care professionals because chiropractors focus on rehabilitating the injured tissues and restoring optimal function. This is reflected in the high patient satisfaction scores that chiropractors have received in "patient satisfaction surveys" performed on MVA patients.

Chiropractic care is a safe, natural, noninvasive, and addresses the cause of the symptoms. Our treatments also include active patient participation, and in some cases, lifestyle modifications. While we do focus on eliminating pain early on, we realize that in addition to pain - optimal tissue healing, restoration of normal function and prevention of future recurrences and re-injuries - are equally important.

Our treatments are highlighted by our use of many gentle and highly effective spinal adjustment  techniques. When used properly, these techniques allow us to safely and effectively reduce pain levels, reduce muscles spasms, eliminate inflammation, restore normal joint motion and biomechanics, prevent or minimize degenerative processes, and, minimize the likelihood of future recurrences.

We also incorporate many natural and safe chiropractic spinal/joint adjustment techniques into our treatment plan to further assist in the healing process. Some common adjunctive therapies include physiotherapy such as: low-level laser therapy (LLLT); ice therapy (cryotherapy); heat therapy; therapeutic ultrasound; electronic muscle stimulation; cervical spinal decompression traction; soft tissue mobilization; spinal stretches and strengthening exercises; nutritional supplementation; ergonomic and lifestyle modification counseling.

7. How long do whiplash treatments take?

As with any other injury, there are a number of factors which influence the treatment length of whiplash injuries: 

  • the severity of the injury
  • when treatment was initiated
  • patient compliance to the treatment plan
  • the nature of the accident
  • the size and speed of your vehicle and other vehicles involved
  • whether or not seat belts were worn
  • whether you were aware of the impending accident
  • the height of the head rest
  • the age of the individual
  • the size and strength of the cervical musculature
  • the presence of preexisting spinal conditions

The easiest and most effective way of eliminating pain and preventing residual and chronic problems is to start care immediately following the accident. As you allow time to slip by without seeking appropriate treatment, your injuries become more permanent and far more difficult to manage.

8. Will I have future problems from my whiplash injury?

Numerous studies show that many whiplash victims have a relatively poor outcome without immediate and appropriate treatment. One such study found that 75% of patients with whiplash still suffer from symptoms 6 months after the accident. Experts agree that individuals with any degree of neck complaints following an auto accident dramatically improve their prognosis if they seek immediate evaluation and appropriate treatment within hours of the accident.

9. Interesting whiplash statistics: 

  • whiplash symptoms last more than 6 months in 75% of patients
  • symptoms of whiplash commonly do not appear until weeks or months after the accident
  • whiplash victims lose an average of 8 weeks of work
  • whiplash is 5 times more common in women than in men
  • whiplash occurs most commonly in those aged 30 to 50 years
  • rear-end collisions typically cause more cervical spine (neck) damage than do frontal or side (T-bone) collisions.

Injuries to the neck (soft-tissue and bony) caused by a rapid movement of the head backward, forward, or side to side, is commonly referred to as "Whiplash" or in other words,  a whiplash associated disorder (WAD). Whether a result of a car accident, slip/trip and fall, sport or work injury, whiplash or other neck injuries warrant a thorough chiropractic check-up. The biggest danger with these injuries is that the symptoms can ‘silently’ take days, months or years to develop. Too often people don't seek treatment until more serious complications develop. Even after whiplash victims settle their insurance claims, between 39 report they still suffer with symptoms two years later.

In the past, a typical whiplash injury where no bones were broken, was hard to document. Soft tissue injuries do not show up on x-ray and insurance companies would deny coverage. Literally adding insult to injury, the patient suffering all too real pain was considered to be a fraud, a liar, or at best a hypochondriac. New imaging devices (CT Scans, Magnetic Resonance Imaging (MRI), Ultra-Sound) may now show soft tissue injury and now insurance companies cover most whiplash injuries.

When no bones are broken and the head doesn't strike the windshield, typical symptoms are as follows: 92% complain of neck pain, which typically starts two hours up to two days after the accident. This is often the result of tightened muscles that react to either muscle tears or excessive movement of joints from ligament damage. The muscles tighten in an effort to splint and support the head, limiting the excessive movement.

About 57% of those suffering from whiplash complain of headaches. The pain may be on one side or both, on again off again or constant, in one spot or more generalized. These headaches, like the neck pain, are often the result of tightened, tensed muscles trying to keep the head stable and, like tension headaches, they are often felt behind the eyes.

Shoulder pain often described as pain radiating down the back of the neck into the shoulder blade area, may also be the result of tensed muscles, accounting for 49% of injuries caused by whiplash.

Muscle tears are often described as burning pain, prickling or tingling. More severe disc damage may cause sharp pain with certain movements, with or without radiation into the arms, hand and fingers, which are relieved by holding your hand over your head.

10. Myths:

  • Low speed rear impact crashes don't cause injuries.
  • Injuries heal in 6-12 weeks.
  • Litigation has an effect on the patient's recovery.
  • The patient's pre-injury psychological makeup affects recovery.
  • Greater vehicle damage = greater occupant injury.
  • Accident re-constructionists can predict injury potential.

11. Crash Facts:

  • In a series of recent human volunteer crash tests of low speed rear impact collisions, it was reported that the threshold for cervical spine soft tissue injury was 5 mph.
  • Most injuries occur at speeds below 12 mph.
  • The peak acceleration of the head is greater than the peak acceleration of the vehicle.
  • A 5 mph "Delta V" crash typically produces about 10-12 g of acceleration of the occupant's head.
  • Other reports have shown that crashed cars can often withstand collision speeds of 10 mph or more without sustaining damage.
  • Recent epidemiological studies have shown that most injury rear impact accidents occur at crash speeds of 6 mph to 12 mph--the majority at speeds below the threshold for property damage to the vehicle. A number of risk factors in rear impact accident injury have now been verified including: rear (vs. other vector) impact, loss of cervical lordotic (C-shaped forward) curve, pre-existing degenerative changes, the use of seat belts and shoulder harness, poor head restraint geometry, non-awareness of the impending collision, female gender, and head rotation at impact.
  • The notion of litigation neurosis has been rather definitively dispelled.
  • Once thought to suggest minimal injury, a delay in onset of symptoms has been shown to be the norm, rather than the exception.
  • Mild traumatic brain injury can result from whiplash trauma. Often the symptoms are referred as the post concussion syndrome. This condition, often maligned in the past, has now been well-validated in recent medical literature.
  • A recent outcome study of whiplash patients reported in the European Spine Journal found that between one and two years post injury, 22% of patients' conditions deteriorated. This second wave of symptoms has been observed by others as well.
  • Radanov et al. followed whiplash patients through time and reported that 45% remained symptomatic at 12 weeks, and 25% were symptomatic at 6 months. Other researchers have reported time to recovery in the most minor of cases at 8 weeks; time to stabilization in the more severe cases at 17 weeks; and time to plateau in the most severe categories as 20.5 weeks. Thus, the notion that whiplash injuries heal in 6-12 weeks is challenged. (Incidentally, there never has been any real support for this common myth.)
  • Each year, 1.99 million Americans are injured in whiplash accidents.
  • Of the 31 important whiplash outcome studies published since 1956 (19 published since 1990 pooling patients from all vectors of collision (I. e., rear, frontal, and side impacts), a mean of 40% still symptomatic is found. For rear impact only, a mean of 59% remain symptomatic at long-term follow-up.
  • Although estimates vary, about 10% of all whiplash victims become disabled.
  • The Quebec Task Force on Whiplash-Associated Disorders has been criticized on the basis of potential bias, study design, the use of ambiguous and misleading terminology, and for developing conclusions that are not supported by the literature.
  • The chiropractic profession has developed its own guidelines for management of whiplash patients.
  • Most injuries don't show on x-rays.

Location

HOURS OF OPERATION

Monday

8:00 am - Noon

2:00 pm - 6:00 pm

Tuesday

By Appointment

By Appointment

Wednesday

8:00 am - Noon

2:00 pm - 6:00 pm

Thursday

By Appointment

2:00 pm - 6:00 pm

Friday

8:00 am - Noon

By Appointment

Saturday

By Appointment

By Appointment

Sunday

By Appointment

By Appointment

Monday
8:00 am - Noon 2:00 pm - 6:00 pm
Tuesday
By Appointment By Appointment
Wednesday
8:00 am - Noon 2:00 pm - 6:00 pm
Thursday
By Appointment 2:00 pm - 6:00 pm
Friday
8:00 am - Noon By Appointment
Saturday
By Appointment By Appointment
Sunday
By Appointment By Appointment